İstanbul
Açık
15°
Adana
Adıyaman
Afyonkarahisar
Ağrı
Amasya
Ankara
Antalya
Artvin
Aydın
Balıkesir
Bilecik
Bingöl
Bitlis
Bolu
Burdur
Bursa
Çanakkale
Çankırı
Çorum
Denizli
Diyarbakır
Edirne
Elazığ
Erzincan
Erzurum
Eskişehir
Gaziantep
Giresun
Gümüşhane
Hakkari
Hatay
Isparta
Mersin
İstanbul
İzmir
Kars
Kastamonu
Kayseri
Kırklareli
Kırşehir
Kocaeli
Konya
Kütahya
Malatya
Manisa
Kahramanmaraş
Mardin
Muğla
Muş
Nevşehir
Niğde
Ordu
Rize
Sakarya
Samsun
Siirt
Sinop
Sivas
Tekirdağ
Tokat
Trabzon
Tunceli
Şanlıurfa
Uşak
Van
Yozgat
Zonguldak
Aksaray
Bayburt
Karaman
Kırıkkale
Batman
Şırnak
Bartın
Ardahan
Iğdır
Yalova
Karabük
Kilis
Osmaniye
Düzce
42,5106 %0.02
49,5454 %-0.11
5.770,90 % 0,31
91.206,44 %-1.717
Ara
Muhalif. ARAŞTIRMA Koronavirüs geçirenlerde uzun vadede bilinç bulanıklığı, bunama gibi riskler artıyor

Koronavirüs geçirenlerde uzun vadede bilinç bulanıklığı, bunama gibi riskler artıyor

Lancet’te yayımlanan araştırmanın bulguları için iki yıl boyunca kaydedilen 1.28 milyon Covid vakası incelendi

Okunma Süresi: 1 dk

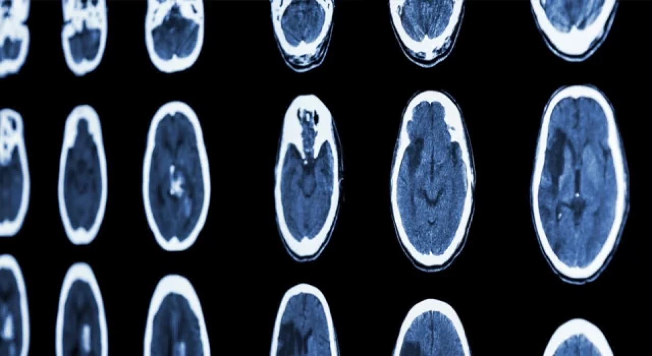
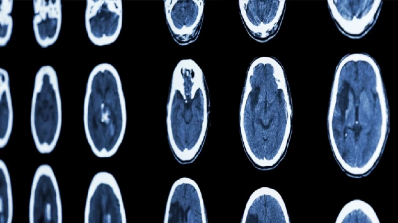
Covid-19’un mental sağlığa etkisine ilişkin şu zamana kadar yapılmış en kapsamlı araştırma, hastalığı geçiren kişilerde uzun vadede bilinç bulanıklığı, bunama ve psikoz riskinin daha yüksek olduğunu gösterdi. 

The Guardian’da yer alan habere göre, 2020’den bu yana dünyayı etkisi altına alan Covid-19’un nörolojik ve psikiyatrik sorunlarla bağlantısına ilişkin en kapsamlı araştırma, Lancet Psikiyatri Dergisi’nde yayımlandı. 

Covid-19 çıktığından bu yana dünya genelinde neredeyse 600 milyon kişinin enfekte olduğu salgında çok sayıda insanın daha sonra nörolojik ve psikiyatrik sorunlar yaşadığı tespit edildi.

Lancet’te yayımlanan araştırmanın bulguları için iki yıl boyunca kaydedilen 1.28 milyon Covid vakası incelendi.

Oxford Üniversitesi’nde analizleri gerçekleştiren ekibe liderlik eden Dr. Max Taquet, “Bulgular Covid-19 geçiren kişilerde uzun vadeli mental ve beyin sağlığı sonuçlarına ışık tutuyor.” Dedi.

Bulgular, Covid-19 sonrası anksiyete ve depresyon riskinin arttığını gösterdi. Öte yandan bilinç bulanıklaşması riskinin özellikle 64 yaş üstü yetişkinlerde daha çok arttığı tespit edildi. 

Yorumlar
* Bu içerik ile ilgili yorum yok, ilk yorumu siz yazın, tartışalım *