İstanbul
Parçalı bulutlu
14°
Adana
Adıyaman
Afyonkarahisar
Ağrı
Amasya
Ankara
Antalya
Artvin
Aydın
Balıkesir
Bilecik
Bingöl
Bitlis
Bolu
Burdur
Bursa
Çanakkale
Çankırı
Çorum
Denizli
Diyarbakır
Edirne
Elazığ
Erzincan
Erzurum
Eskişehir
Gaziantep
Giresun
Gümüşhane
Hakkari
Hatay
Isparta
Mersin
İstanbul
İzmir
Kars
Kastamonu
Kayseri
Kırklareli
Kırşehir
Kocaeli
Konya
Kütahya
Malatya
Manisa
Kahramanmaraş
Mardin
Muğla
Muş
Nevşehir
Niğde
Ordu
Rize
Sakarya
Samsun
Siirt
Sinop
Sivas
Tekirdağ
Tokat
Trabzon
Tunceli
Şanlıurfa
Uşak
Van
Yozgat
Zonguldak
Aksaray
Bayburt
Karaman
Kırıkkale
Batman
Şırnak
Bartın
Ardahan
Iğdır
Yalova
Karabük
Kilis
Osmaniye
Düzce
44,5059 %0.03
51,9440 %0.01
6.807,06 % 0,05
68.255,55 %0.373
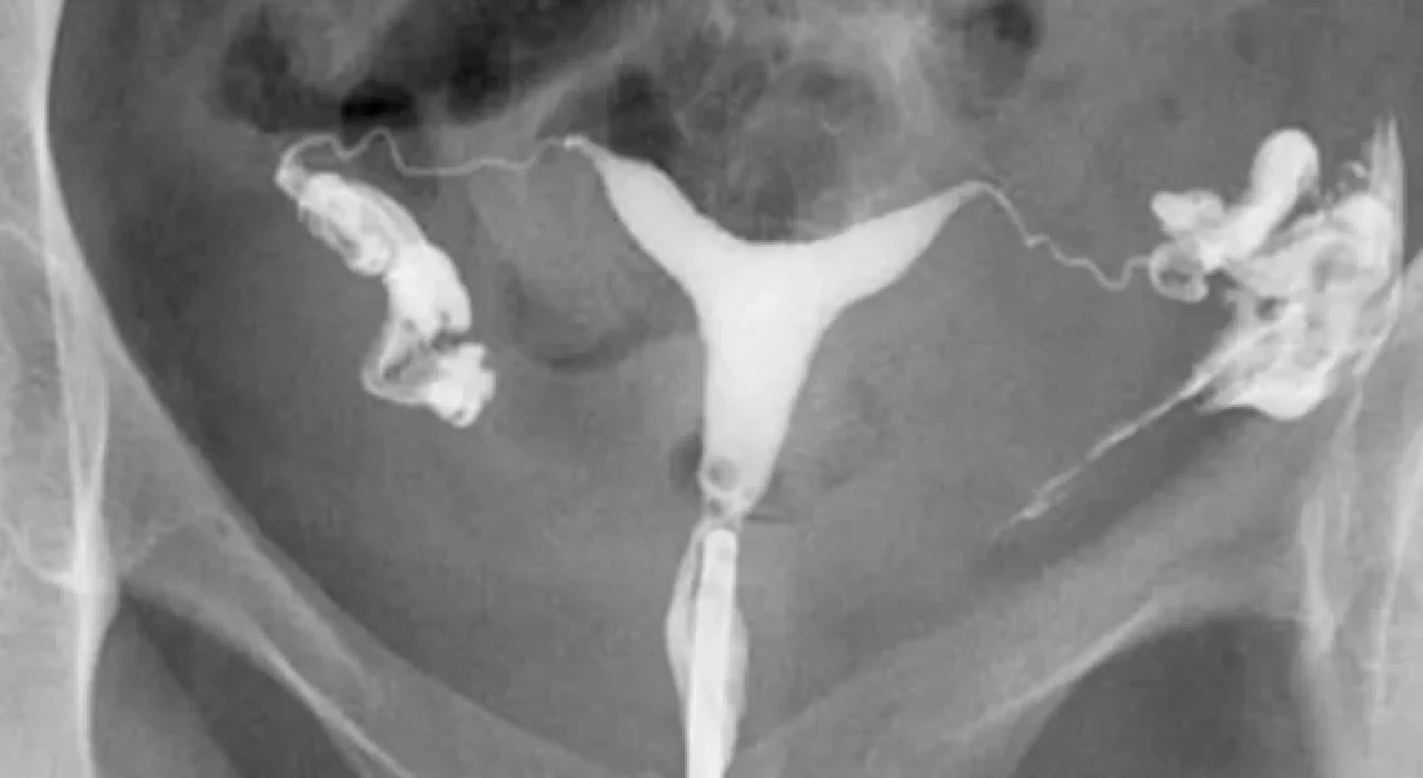
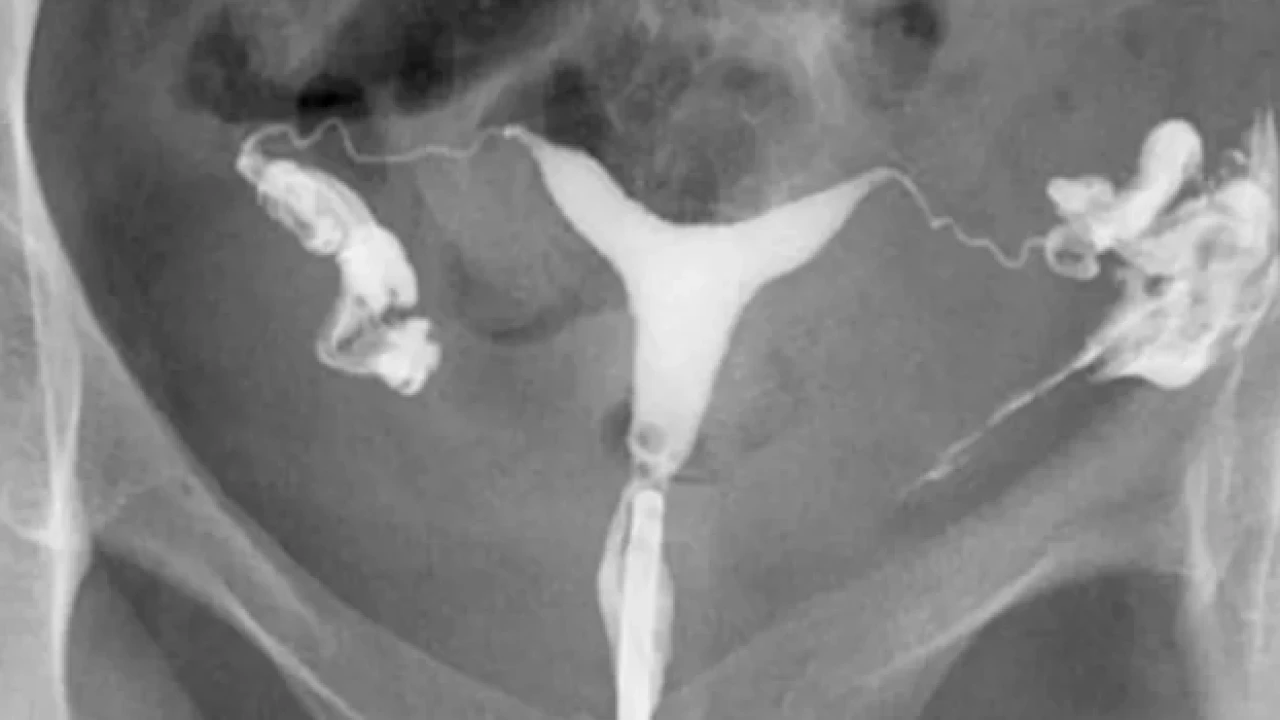
Muhalif. HABERLER Rahim Filmi

Rahim Filmi

Okunma Süresi: 5 dk

Rahim filmi, tıbbi ismiyle histerosalpingografi (HSG), rahim ve fallop tüplerinin radyolojik olarak görüntülendiği bir tetkiktir. Bu işlem sırasında rahime özel bir boyar madde enjekte edilir ve X-ışını yardımıyla bu bölgelerin görüntüsü alınır. Rahim filmi, kadınların üreme sağlığını değerlendirmek amacıyla özellikle kısırlık soruşturmalarında ve tüp yollarının açıklığını kontrol etmek için kullanılır.

Rahim Filmi Ne Zaman Çektirilir?

 Rahim filmi, kadınların üreme sağlığıyla ilgili sorunları değerlendirmek amacıyla çektirilir. Özellikle kısırlık sorunları, tüp tıkanıklığı ya da rahimdeki potansiyel şekil bozuklukları gibi durumların teşhisinde etkili bir yöntemdir. Aynı zamanda tekrar eden düşüklerin nedenini araştırmak veya pelvik ağrının kaynağını belirlemek için de doktorlar tarafından önerilebilir.

Rahim Filmi Ne Kadar Sürer?

Rahim filmi işlemi genellikle kısa sürer. Ortalama olarak, işlemin tamamlanması yaklaşık 15 ila 30 dakika arasında bir süreyi alabilir. Ancak rahim filmi hastanın hazırlığı ve işlem sonrası dinlenme süresi dahil edildiğinde, toplam süre biraz daha uzun olabilir.

Rahim Filmi Ağrılı Bir İşlem Mi?

 Rahim filmi sırasında, boyar maddenin rahime enjekte edilmesiyle hafif bir rahatsızlık ya da kramp hissedilebilir. Ancak bu his, genellikle geçicidir ve işlem sonrasında kısa süre içerisinde kaybolur. Buna rağmen, her kadının ağrı eşiği farklı olduğu için, rahatsızlık derecesi bireyden bireye değişkenlik gösterebilir.

Biyopsi Nedir?

Biyopsi, tıp dünyasında sıklıkla başvurulan, vücuttaki doku ve hücrelerin detaylı bir şekilde incelenmesi işlemidir. Bu inceleme, hastalıkların doğru ve kesin bir şekilde teşhis edilmesine yardımcı olur, özellikle kanser gibi ciddi durumların erken tespiti için kritik bir öneme sahiptir.

Biyopsi Nasıl Yapılır?

Biyopsi işleminde, şüpheli bölgeden küçük bir doku örneği alınır. Bu örnek alma işlemi, genellikle lokal anestezi altında gerçekleştirilir ve özel iğneler veya cerrahi aletler aracılığıyla yapılır. Alınan doku örneği, mikroskobik inceleme için patoloji laboratuvarına gönderilir.

Biyopsi Çeşitleri Nelerdir?

Birkaç farklı biyopsi türü bulunmaktadır.

İnce İğne Aspirasyon Biyopsisi: Bu yöntemle, ince bir iğne kullanılarak şüpheli bölgeden hücre örnekleri alınır.

Eksize Biyopsi: Anormal doku bölgesinin tamamı veya büyük bir kısmı çıkarılır.

Deri Biyopsisi: Cilt yüzeyinden doku örneklerinin alındığı işlemdir.

Kemik Biyopsisi: Kemikten doku örneklerinin alındığı işlemdir.

Biyopsi Avantajları Nelerdir?

 Biyopsinin sunduğu en büyük avantaj, kesin teşhis yeteneğidir. Özellikle kanser teşhisinde altın standart olarak kabul edilir. Biyopsi, doktorlara hastalığın türü, evresi ve şiddeti hakkında değerli bilgiler sunar, bu da tedavi planının etkili bir şekilde oluşturulmasını sağlar. Ayrıca biyopsi invaziv olmayan görüntüleme yöntemleriyle saptanamayacak detayları ortaya koyabilir.

Biyopsi Neden İstenir?

Biyopsi, genellikle doktorlar tarafından anormal ya da şüpheli doku bölgelerinin daha yakından incelenmesi amacıyla istenir. Bu inceleme, bireyde potansiyel bir hastalığın varlığını tespit etmek, hastalığın tipini belirlemek ve tedavi yöntemini planlamak için esastır. Özellikle kanser şüphesi durumunda, biyopsi kesin teşhis koymada altın standart olarak kabul edilir.

Biyopsi Ne Kadar Sürer?

Biyopsi işlemi, uygulanan yönteme ve şüpheli doku bölgesinin yerine bağlı olarak değişkenlik gösterebilir. Temel bir iğne biyopsisi genellikle sadece birkaç dakika sürerken, daha karmaşık biyopsi türleri bir saat veya daha fazla sürebilir. Ancak, biyopsi sonrası doku örneklerinin laboratuvarda incelenmesi için gerekli süre, bu işlem süresine dahil değildir ve genellikle birkaç günü bulabilir.

Check Up Nedir? Nasıl Yapılır?

Check up, bireyin genel sağlık durumunun kapsamlı bir şekilde değerlendirilmesi için yapılan bir dizi tıbbi test ve incelemedir. Bu incelemeler, olası sağlık sorunlarını erken aşamada tespit etmeye ve bireyin sağlığını korumaya yardımcı olur. Check up süreci, kişinin medikal geçmişi, yaşam alışkanlıkları ve risk faktörleri hakkında detaylı bir sorgulama ile başlar. Ardından, fizik muayene, kan testleri, radyolojik incelemeler gibi farklı testler gerçekleştirilir. Bu testlerin kapsamı, bireyin yaşına, cinsiyetine ve genel sağlık durumuna göre belirlenebilir.

Check Up Neleri Kapsar?

Check up, bireyin genel sağlık durumunu kapsamlı bir şekilde değerlendirmek amacıyla yapılan bir dizi tıbbi testten oluşur. Bu testler; tam kan sayımı, biyokimyasal taramalar, lipid profili, karaciğer ve böbrek fonksiyon testleri, hormon analizleri gibi laboratuvar testlerini, ayrıca EKG, ultrasonografi, röntgen gibi radyolojik incelemeleri de içerebilir. Testlerin kapsamı kişinin yaşına, cinsiyetine ve risk faktörlerine bağlı olarak özelleştirilebilir.

Kapsamlı Sağlık Kontrolü Yaptırmanın Avantajları Nelerdir?

 Kapsamlı sağlık kontrolü, erken teşhisin yanı sıra koruyucu sağlık uygulamaları için de oldukça değerlidir. Erken teşhis, birçok hastalığın tedavisinde daha iyi sonuçların elde edilmesini sağlar. Bu tür kontroller ayrıca, bireyin kendi sağlık durumu hakkında daha bilinçli hale gelmesine yardımcı olur, böylece yaşam tarzı değişiklikleri veya önleyici tedbirler konusunda bilinçli kararlar alabilir.

Check Up Neden Yaptırmalısınız?

Check up, potansiyel sağlık risklerini erken aşamada belirlemek ve bunlara proaktif bir şekilde yaklaşmak için esastır. Özellikle aile geçmişi, genetik faktörler veya yaşam tarzı nedeniyle belirli sağlık sorunlarına yatkın olan bireyler için check up özellikle önemlidir. Ayrıca, düzenli check up'lar, bireyin sağlık durumu ve vücudu hakkında daha bilgili hale gelmesine yardımcı olur.

Check Up Ne Kadar Sürer?

Check up'ın süresi, yapılan testlerin kapsamına ve sayısına bağlı olarak değişiklik gösterebilir. Temel bir check up birkaç saat içerisinde tamamlanabilirken, daha kapsamlı testlerin eklenmesi durumunda bu süre biraz daha uzayabilir.

Yorumlar
Yorum yazma kurallarını okumuş ve kabul etmiş sayılırsınız