İstanbul
Parçalı bulutlu
-0°
Adana
Adıyaman
Afyonkarahisar
Ağrı
Amasya
Ankara
Antalya
Artvin
Aydın
Balıkesir
Bilecik
Bingöl
Bitlis
Bolu
Burdur
Bursa
Çanakkale
Çankırı
Çorum
Denizli
Diyarbakır
Edirne
Elazığ
Erzincan
Erzurum
Eskişehir
Gaziantep
Giresun
Gümüşhane
Hakkari
Hatay
Isparta
Mersin
İstanbul
İzmir
Kars
Kastamonu
Kayseri
Kırklareli
Kırşehir
Kocaeli
Konya
Kütahya
Malatya
Manisa
Kahramanmaraş
Mardin
Muğla
Muş
Nevşehir
Niğde
Ordu
Rize
Sakarya
Samsun
Siirt
Sinop
Sivas
Tekirdağ
Tokat
Trabzon
Tunceli
Şanlıurfa
Uşak
Van
Yozgat
Zonguldak
Aksaray
Bayburt
Karaman
Kırıkkale
Batman
Şırnak
Bartın
Ardahan
Iğdır
Yalova
Karabük
Kilis
Osmaniye
Düzce
43,2960 %0.05
50,5002 %0.06
6.499,92 % 0,05
92.827,20 %-2.801
Ara
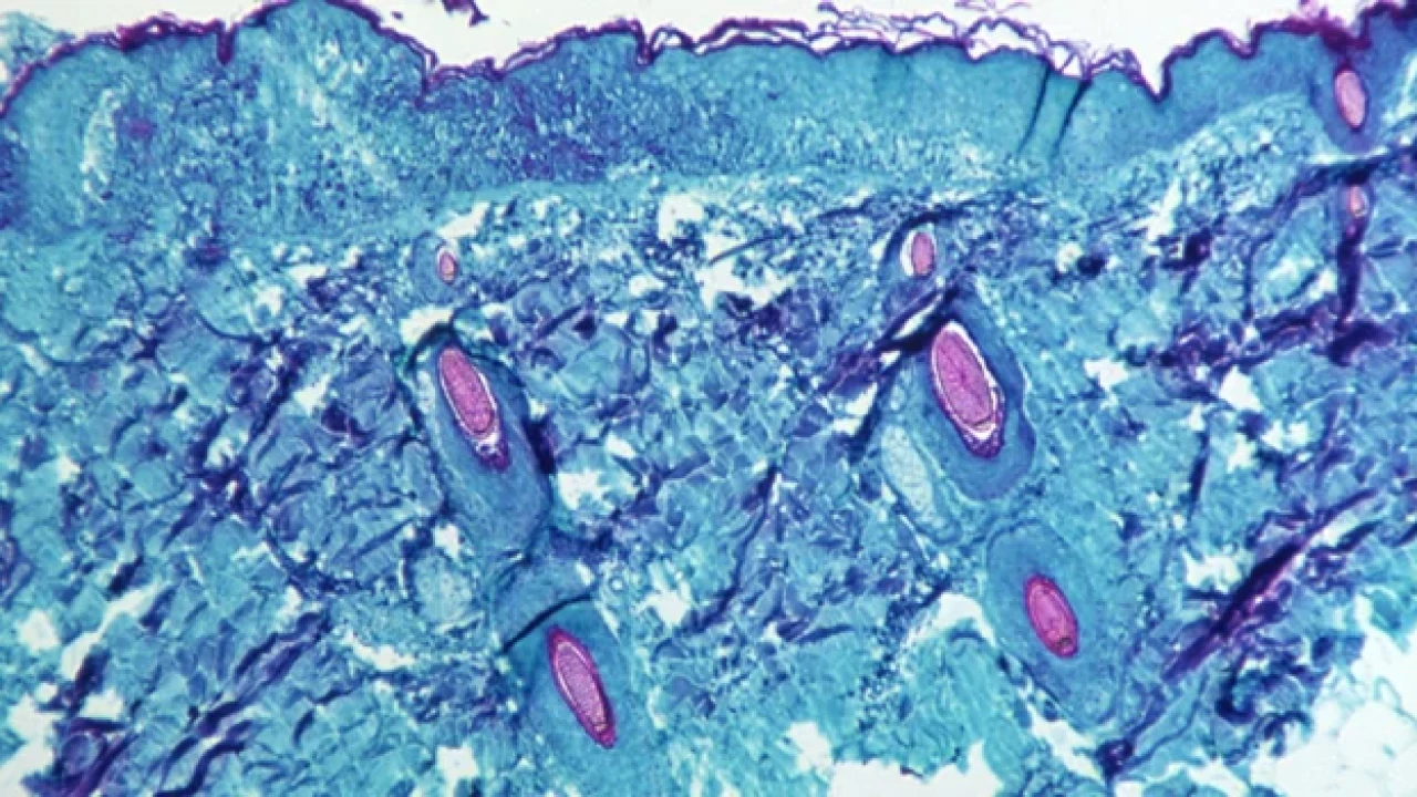
Muhalif. DÜNYA Maymun çiçeği virüsü Hollanda'da da görüldü

Maymun çiçeği virüsü Hollanda'da da görüldü

Hollanda Ulusal Halk Sağlığı ve Çevre Enstitüsü (RIVM), ilk kez bir kişide maymun çiçeği virüsünün tespit edildiğini ve hastalığın daha fazla insanda ortaya çıkmasının beklendiğini açıkladı.

Okunma Süresi: 2 dk

Hollanda Ulusal Halk Sağlığı ve Çevre Enstitüsü (RIVM), ilk kez bir kişide maymun çiçeği virüsünün saptandığını ve hastalığın daha fazla insanda ortaya çıkmasının beklendiğini açıkladı.

Enstitüden Cuma günü erken saatlerde yapılan açıklamada Hollanda'da da birkaç şüpheli maymun çiçeği virüsü vakasının araştırıldığı bildirilmişti.

Akşam saatlerinde, laboratuvar testleri sonucu bir kişide maymun çiçeği virüsünün kesin olarak saptandığı duyuruldu.

RIVM, Hollanda'da daha da fazla kişinin maymun çiçeği virüsüne yakalanmış olabileceğini tahmin ediyor.

Enstitü, hükümetten, hastalık konusunda aile hekimleri ile halk sağlığı birimleri için bildirim yükümlülüğü getirilmesini istedi

RIVM'ye göre, aynı Covid'de olduğu gibi maymun çiçeği virüsü hastalarına da karantina uygulanabilecek.

Üç haftaya kadar karantina uygulanabilir

Kaynak ve iletişim araştırmasına göre, hastaya yakın kişiler de üç haftaya kadar karantina altına alınabilecek.

RIVM Bulaşıcı Hastalık Kontrol Merkezi Müdürü Jaap van Dissel, "Diğer Avrupa ülkelerinde de görülen virüsün Hollanda'da ortaya çıkmaması garip olurdu. Virüsü erken aşamalarda bastırmak için tüm önlemleri almalıyız" dedi.

Enstitü sözcüsü de, virüsün normalden biraz farklı davrandığını belirterek, önceden böyle bir hastalığın, bir kişi ve ailesi ile sınırlıyken, şimdi başkalarına da bulaştığını vurguladı.

Sözcüye göre, mevcut salgındaki klinik tablo da normalden biraz farklı görünüyor. Virüslü kişilerin geliştirdiği lekelerin çoğu anüs ve cinsel organ çevresinde bulunuyor.

Dünyanın farklı ülkelerinde ortaya çıkan enfeksiyonların önemli bir kısmının cinsel temas yoluyla bulaştığı belirtiliyor.

RIVM'ye göre bunların büyük bölümü de, erkekler arasındaki ilişkiler sonucu ortaya çıktı.

Ancak birçok kadın da virüs nedeniyle hasta oldu. O nedenle bu konuda bir genellemeden söz etmenin mümkün olmadığı vurgulandı.

Anavatanı Orta Afrika olan maymun çiçeği virüsü ile ilgili olarak Avrupa'da şu ana kadar 100'den fazla doğrulanmış veya şüpheli vaka kaydedildi.

Vakalar Belçika, Almanya, Fransa, Birleşik Krallık, İspanya, Portekiz, İtalya, İsveç, Amerika Birleşik Devletleri, Kanada ve Avustralya'da saptandı.

Enfeksiyon genellikle solunum damlacıkları veya cinsel ilişki sırasında yakın cilt teması yoluyla bulaşıyor.

Başlangıçta ateş, baş ağrısı, kas ağrıları, şişmiş lenf düğümleri, titreme ve yorgunluk belirtileri gösteren virüs, birkaç gün sonra, deride döküntüye de yol açıyor .

Belirtiler birkaç hafta içinde kayboluyor.

Yorumlar
* Bu içerik ile ilgili yorum yok, ilk yorumu siz yazın, tartışalım *