İstanbul
Parçalı bulutlu
-0°
Adana
Adıyaman
Afyonkarahisar
Ağrı
Amasya
Ankara
Antalya
Artvin
Aydın
Balıkesir
Bilecik
Bingöl
Bitlis
Bolu
Burdur
Bursa
Çanakkale
Çankırı
Çorum
Denizli
Diyarbakır
Edirne
Elazığ
Erzincan
Erzurum
Eskişehir
Gaziantep
Giresun
Gümüşhane
Hakkari
Hatay
Isparta
Mersin
İstanbul
İzmir
Kars
Kastamonu
Kayseri
Kırklareli
Kırşehir
Kocaeli
Konya
Kütahya
Malatya
Manisa
Kahramanmaraş
Mardin
Muğla
Muş
Nevşehir
Niğde
Ordu
Rize
Sakarya
Samsun
Siirt
Sinop
Sivas
Tekirdağ
Tokat
Trabzon
Tunceli
Şanlıurfa
Uşak
Van
Yozgat
Zonguldak
Aksaray
Bayburt
Karaman
Kırıkkale
Batman
Şırnak
Bartın
Ardahan
Iğdır
Yalova
Karabük
Kilis
Osmaniye
Düzce
43,2705 %-0.03
50,4381 %0.45
6.504,82 % 2,03
93.120,12 %-2.324
Ara
Muhalif. SAĞLIK DSÖ açıkladı: 10 yıl içinde ilk defa arttı

DSÖ açıkladı: 10 yıl içinde ilk defa arttı

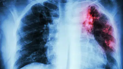
Dünya Sağlık Örgütü (DSÖ), koronavirüs ile mücadelenin sağlık sisteminde yarattığı boşluk nedeniyle dünyada tüberküloz kaynaklı ölümlerin son 10 yıl içinde ilk defa artış gösterdiğini açıkladı.

Okunma Süresi: 2 dk

DSÖ'nün yayımladığı 2021 Tüberküloz Raporu'nda, dünya genelinde 2019 ve 2020'deki tüberküloz vakaları incelendi.

Raporda tüberküloz tedavilerine ayırılan kaynağın geçen yıldan bu yana koronavirüse aktarıldığı ve bu nedenle tüberküloz tedavisi için gerekli hizmetlerin birçok ülkede yeterli oranda sağlanamadığı belirtildi.

2019'da dünyada tüberkülozdan 1,2 milyon kişinin hayatını kaybettiği bilgisinin yer aldığı raporda, 2020'de tespit edilebilen tüberküloz ölümlerinin 1,5 milyona çıkarak bu rakamın son 10 yıl içinde ilk defa artış gösterdi vurgulandı.

Raporda ayrıca DSÖ'nün tahminlerine göre 2020'de 4,1 milyon kişinin tüberkülozla mücadele ettiği fakat teşhis konulamadığı öne sürülerek, bu rakamın da 2019'da 2,9 milyon olduğu kaydedildi.

ÖLÜMLER İLERLEYEN YILLARDA ARTABİLİR

Tüberkülozun 30 ülkede etkisini giderek artırdığı belirtilen raporda, 2021 ve 2022'de can kayıplarının daha da artabileceği uyarısı yapıldı.

DSÖ Genel Direktörü Dr. Tedros Adhanom Ghebreyesus, örgütün Cenevre'deki merkezinde rapora ilişkin düzenlediği sanal basın toplantısında, "Söz konusu rapor, küresel pandemiden ötürü tüberkülozla mücadelede kat edilmiş bunca yıllık ilerlemelerin heba olabileceği yönündeki endişelerimizi doğruluyor" dedi.

Dr. Ghebreyesus, tüberküloz ölümlerindeki artışın tüm dünyaya bir uyarı niteliği taşıdığını belirtti ve "Bu eski, ancak önlenebilir hastalıktan etkilenen milyonlarca insan için teşhis, tedavi ve bakımdaki boşlukları kapatmak üzere yatırımlara acil ihtiyaç var" şeklinde konuştu.

Solunum yoluyla akciğerlere yerleşen ve verem olarak da bilinen tüberküloz, dünya nüfusunun yaklaşık dörtte biri tarafından gizli olarak taşınıyor.

Akciğerlerin yanı sıra boşaltım ve sindirim sistemleriyle omurga, böbrekler ve karın boşluğu gibi farklı bölgeleri etkileyen tüberküloz, tutuluma yol açtığı bölgeye göre karın ağrısı, sindirim ve emilim sorunları, karında sıvı birikimi, karaciğer ve dalak büyümesi, eklemlerde iltihaplanma, lenf bezlerinde büyüme gibi farklı belirtilere de yol açabiliyor.

Yorumlar
* Bu içerik ile ilgili yorum yok, ilk yorumu siz yazın, tartışalım *