İstanbul
Parçalı bulutlu
-0°
Adana
Adıyaman
Afyonkarahisar
Ağrı
Amasya
Ankara
Antalya
Artvin
Aydın
Balıkesir
Bilecik
Bingöl
Bitlis
Bolu
Burdur
Bursa
Çanakkale
Çankırı
Çorum
Denizli
Diyarbakır
Edirne
Elazığ
Erzincan
Erzurum
Eskişehir
Gaziantep
Giresun
Gümüşhane
Hakkari
Hatay
Isparta
Mersin
İstanbul
İzmir
Kars
Kastamonu
Kayseri
Kırklareli
Kırşehir
Kocaeli
Konya
Kütahya
Malatya
Manisa
Kahramanmaraş
Mardin
Muğla
Muş
Nevşehir
Niğde
Ordu
Rize
Sakarya
Samsun
Siirt
Sinop
Sivas
Tekirdağ
Tokat
Trabzon
Tunceli
Şanlıurfa
Uşak
Van
Yozgat
Zonguldak
Aksaray
Bayburt
Karaman
Kırıkkale
Batman
Şırnak
Bartın
Ardahan
Iğdır
Yalova
Karabük
Kilis
Osmaniye
Düzce
43,2697 %-0.03
50,4273 %0.43
6.497,34 % 1,91
93.161,91 %-2.293
Ara
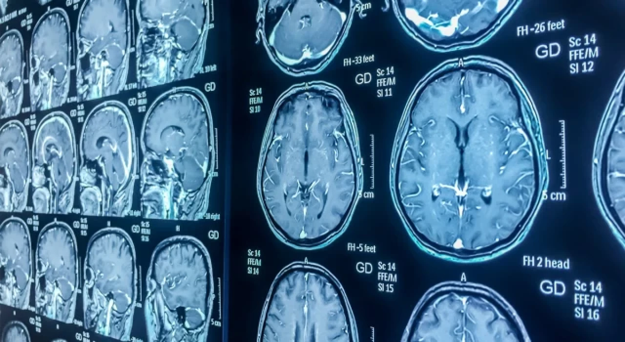
Muhalif. SAĞLIK Beyin kanseri, kan testi ile erken teşhis edilebilecek

Beyin kanseri, kan testi ile erken teşhis edilebilecek

Okunma Süresi: 2 dk

Bilim insanları, beyin kanserini erken evrede tespit etmek için dünyada ilk kez geliştirilen bir testin tanıda devrim yaratabileceğini, tedaviyi hızlandırabileceğini ve hayatta kalma oranlarını artırabileceğini açıkladı.

İngiltere'de bir araştırma ekibi, beyin kanserinin en ölümcül türlerine sahip hastaların bile çok daha hızlı teşhis edilmesine yardımcı olabilecek, potansiyel olarak onları invaziv ve yüksek riskli cerrahi biyopsilerden koruyabilecek basit bir kan testi tasarladı. Buluş, Uluslararası Kanser Dergisi'nde bildirildi. 

Testin özellikle "erişilemez" beyin tümörleri olan ve tedaviye mümkün olan en kısa sürede başlamanın hayati olduğu hastalar için faydalı olacağı bildirildi. 

Imperial College sağlık hizmetleri tarafından yönetilen Beyin Tümörü Araştırma Merkezi'ndeki araştırmacılar, testin, en sık teşhis edilen yüksek dereceli beyin tümörü türü olan glioblastoma (GBM) dahil olmak üzere bir dizi beyin tümörünü doğru bir şekilde teşhis edebildiğini açıkladı. Ekip, testin "yüksek analitik hassasiyete ve kesinliğe" sahip olduğunu bildirdi.

Beyin Tümörü Araştırmaları kuruluşunun genel müdürü Dan Knowles"Bu çığır açıcı araştırma, beyin tümörü hastalarında daha erken tanıya ve daha iyi sonuçlara yol açacak. Sonuçları doğrulamak için daha fazla araştırma yapmayı planlıyoruz ve eğer başarılı olursak hastalar iki yıl gibi kısa bir sürede yeni testten faydalanabilecek" dedi. 

Datar Cancer Genetics'in finansmanıyla geliştirilen TriNetra-Glio kan testi, tümörden kurtulan ve kanda dolaşırken bulunan glial hücreleri izole ederek çalışıyor. İzole edilen hücreler daha sonra boyanarak mikroskop altında tanımlanıyor. 

Beyin Tümörü Araştırma Merkezi'ni yöneten Dr. Nelofer Syed şunları söyledi: 

“Bu teknoloji sayesinde ulaşılması mümkün olmayan tümörlerin tanısı, risksiz ve hasta dostu bir kan testiyle mümkün hale gelebiliyor. Şu anda bu tür tümörler için invaziv olmayan veya radyolojik olmayan testler olmadığından bunun dünyada bir ilk olacağına inanıyoruz."

Yorumlar
* Bu içerik ile ilgili yorum yok, ilk yorumu siz yazın, tartışalım *