İstanbul
Parçalı bulutlu
3°
Adana
Adıyaman
Afyonkarahisar
Ağrı
Amasya
Ankara
Antalya
Artvin
Aydın
Balıkesir
Bilecik
Bingöl
Bitlis
Bolu
Burdur
Bursa
Çanakkale
Çankırı
Çorum
Denizli
Diyarbakır
Edirne
Elazığ
Erzincan
Erzurum
Eskişehir
Gaziantep
Giresun
Gümüşhane
Hakkari
Hatay
Isparta
Mersin
İstanbul
İzmir
Kars
Kastamonu
Kayseri
Kırklareli
Kırşehir
Kocaeli
Konya
Kütahya
Malatya
Manisa
Kahramanmaraş
Mardin
Muğla
Muş
Nevşehir
Niğde
Ordu
Rize
Sakarya
Samsun
Siirt
Sinop
Sivas
Tekirdağ
Tokat
Trabzon
Tunceli
Şanlıurfa
Uşak
Van
Yozgat
Zonguldak
Aksaray
Bayburt
Karaman
Kırıkkale
Batman
Şırnak
Bartın
Ardahan
Iğdır
Yalova
Karabük
Kilis
Osmaniye
Düzce
43,2816 %0.05
50,5455 %0.23
6.558,76 % 0,96
91.520,00 %-1.037
Ara
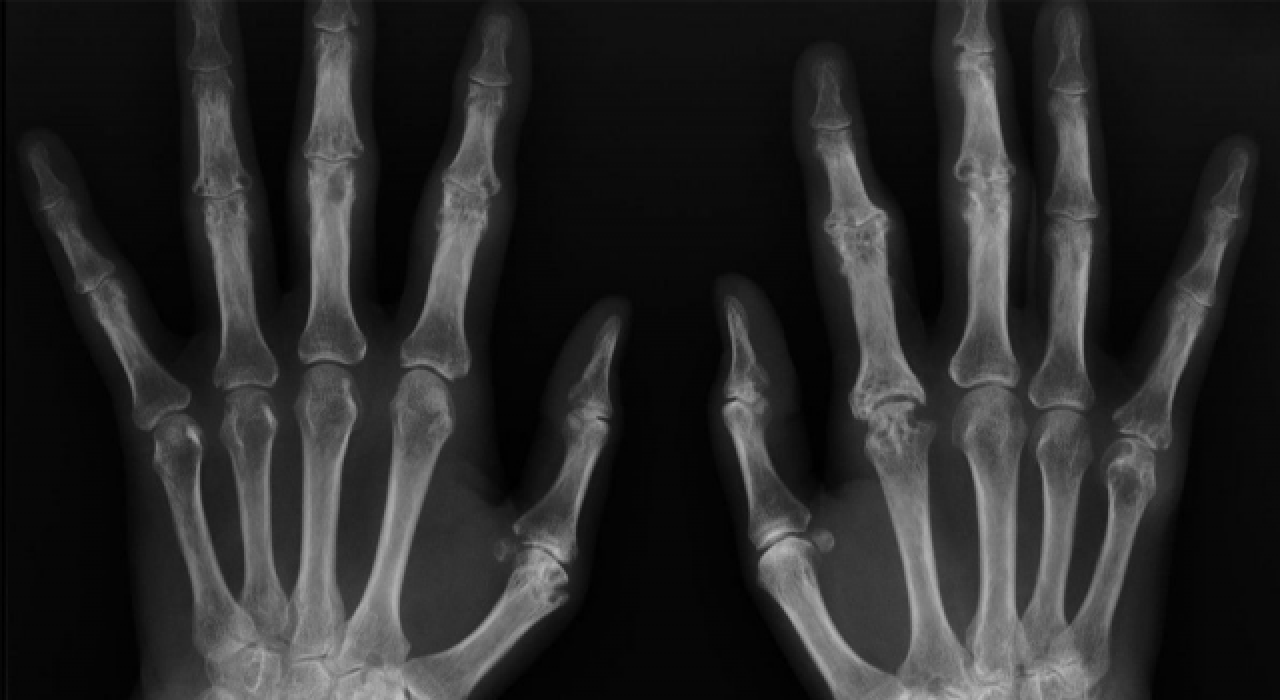
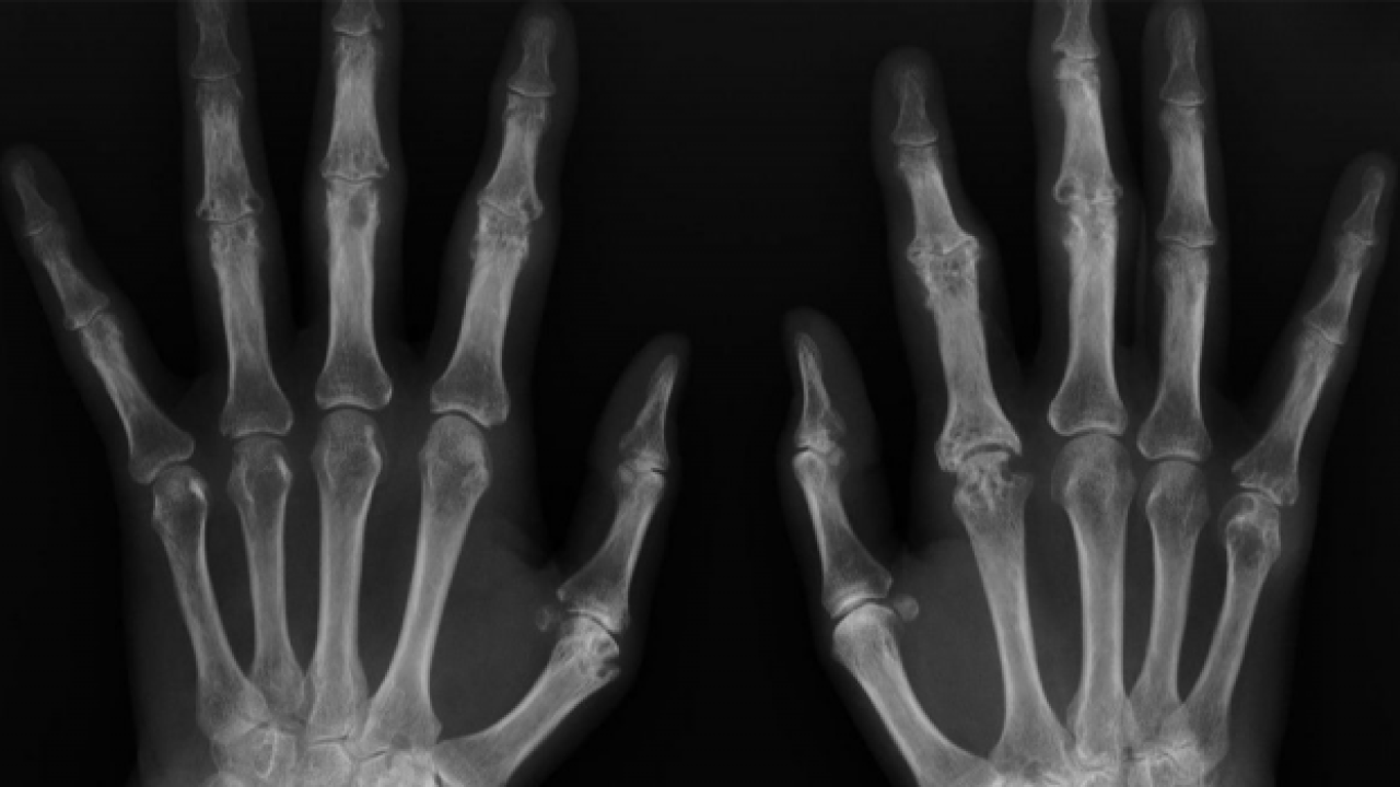
Muhalif. BİLİM - TEKNOLOJİ Kemik yaşını yapay zeka ile tespit edecek sistem geliştirildi

Kemik yaşını yapay zeka ile tespit edecek sistem geliştirildi

Akademisyenler, kemik yaşını yapay zeka ile bir dakikanın altında sürede tespit edecek sistem geliştirdi.

Okunma Süresi: 4 dk

Siirt Üniversitesi Öğretim Üyesi Doç. Dr. Yılmaz Kaya'nın, iki akademisyenin desteğiyle geliştirdiği, sol el bilek grafisinden kemik yaşı tespitine ilişkin sistemle ilgili makalesi uluslararası dergide yayınlandı.
Çalışmalarıyla, Stanford Üniversitesi bilim insanlarından Prof. Dr. John P. A. Loannidis ve ekibince hazırlanan, Plos Biology Dergisi'nde yayınlanan "Dünyanın en etkili bilim insanları" listesinde 2020 ve 2021 yılında yer alan Siirt Üniversitesi (SİÜ) Mühendislik Fakültesi Bilgisayar Mühendisliği Bölümü Öğretim Üyesi Doç. Dr. Yılmaz Kaya öncülüğünde yapılan sol el bilek grafisinden kemik yaşı tespitine yönelik çalışmalar sonuçlandı.

Kaya'nın SİÜ Teknik Bilimler Meslek Yüksekokulunda Öğretim Görevlisi Cüneyt Özdemir ve Kütahya Sağlık Bilimleri Üniversitesi Evliya Çelebi Eğitim ve Araştırma Hastanesi Radyoloji Uzm. Dr. Mehmet Ali Gedik ile derin öğrenme teknolojisi kullanarak geliştirdiği sistem ile ilgili hazırlanan makale uluslararası kabul gören dergilerden "Traitement du Signal"de yayınlandı.

Akademisyenler yapay zekanın en önemli konularından olan derin öğrenme metotları ile çalışan sistemle ilgili bir de web sitesi oluşturdu.

Herhangi bir gerekçe ile kişinin kemik yaşı tespiti gerektiğinde el bilek görüntüsü sisteme yüklenerek, bir dakikanın altında sürede tespit yapılabilecek.

"Özellikle radyologlar için destekleyici bir program"
Doç. Dr. Yılmaz Kaya, AA muhabirine, sağlıkta yapay zeka ile "makine öğrenme", "medikal sinyal ve görüntü işleme", "doğal dil işleme" gibi çeşitli çalışmalar yaptıklarını söyledi.

Bu kapsamda akademisyenler Özdemir ve Gedik ile yaptıkları çalışmada kemik yaşı tahmini için radyologların iş akışını hızlandıracak bir çalışma yürüttüklerini ifade eden Kaya, sol el bilek grafisinden derin öğrenme teknolojisi kullanılarak bilgisayar temelli bir karar destek sistemi geliştirdiklerini belirtti.

Verileri Kütahya'daki 4 hastaneden elde ettiklerini dile getiren Kaya, "Yapay zeka tekniklerini kullanarak el grafilerinden kişinin yaşını tespit etmeye çalıştık. Yaş tespiti çok zahmetli bir şekilde radyologlar tarafından belirleniyor ama bilgisayar sistemiyle çok daha kolay ve hızlı şekilde gerçekleştirebilirsiniz." dedi.

Kaya, el grafisinden kemik yaşı tespitinin daha önce yaklaşık 2 saat sürdüğüne işaret ederek, geliştirdikleri sistemle yaş tespit süresinin saniyelere düştüğünü kaydetti.

"Geliştirdiğimiz sistemle paket program halinde veya web sitesi üzerinden bu çalışmayı saniyelere indirebiliyoruz. Bu, özellikle radyologlar için destekleyici bir program. Bunu Türkiye'deki bütün hastanelere yaymak istiyoruz." diyen Kaya, bunun yanı sıra tüm Türkiye'nin el grafik atlasını da çıkarmaya çalıştıklarını aktardı.

Kaya, bu çalışmanın uluslararası kabul gören dergilerden "Traitement du Signal"de makale olarak yayınlandığını anlatarak, derin öğrenme teknolojisini kullanarak farklı çalışmalar yapmaya devam edeceklerini bildirdi.

"Uzmanların iş akış sürecini hızlandıracak"
Öğretim görevlisi Cüneyt Özdemir de derin öğrenme yöntemiyle sol el bilek grafisinden kemik yaşı tespitine yönelik çalışmaların 18 yaş altı ve 18 yaş üstü bireylere yönelik iki aşamadan oluştuğunu belirtti.

Özdemir, "Ülkemizde bu işlem için radyologlar genellikle gök atlası dediğimiz sistemden yararlanmakta. Bu yöntemde radyologlar bakış açılarına göre farklı sonuçlar da elde edebiliyorlar. Bu çalışmayla bu işlemi otomatikleştiren, radyologlar için bir karar destek sistemi geliştirdik. Bu sistem uzmanların iş akış sürecini hızlandırıp, kolaylaştıracak." diye konuştu.

18 yaş üstü bireylerin kemik yaşının tespitine yönelik de çalışma yaptıklarını aktaran Özdemir, "18 yaş üstü ile ilgili çalışmalar maalesef ülkemizde ve dünyada az. 18 yaş üstü kemik yaşı tespiti için yüz ve dişlerle ilgili yapılan çalışmalar var. Biz ilk defa el bilek grafisinden 18 yaş üstü kemik yaşının tespitine dönük de bir çalışma yaptık. Bu yöntemle başarılı bir sonuç elde ettik. Bu, literatürde derin öğrenme yöntemiyle 18 yaş üstü kişilerin kemik yaşı tespitine dönük yapılan ilk çalışmalardan biri olma özelliğini taşıyor." ifadelerini kullandı.

Özdemir bu konuda da makale hazırladıklarını anlatarak, çalışmanın yayınlanmasını beklediklerini belirtti.

Kemik yaşı tespitinin önemine dikkati çeken Özdemir, özellikle çocukların büyüme ve gelişiminin kontrolü, hastalıkların teşhisi, askere alınma, rekabetçi sporlar, evlilik ve cezai sorumluluk gerektiren durumlarda kemik yaşı tespitinin önemli olduğunu, bu tür durumlarda çalışmanın sürece katkı sağlayacağını kaydetti.

Yorumlar
* Bu içerik ile ilgili yorum yok, ilk yorumu siz yazın, tartışalım *